Who Is a Good Candidate for Lip Repositioning Treatment?

Lip repositioning is a popular cosmetic dental procedure designed to reduce the appearance of a gummy smile.

Who Is a Good Candidate for Lip Repositioning Treatment?

Lip repositioning is a popular cosmetic dental procedure designed to reduce the appearance of a gummy smile. By adjusting the position of the upper lip, this treatment helps create a more balanced and aesthetically pleasing smile. However, not everyone is an ideal candidate. Understanding who benefits most from this procedure can help you make an informed decision.

Understanding Lip Repositioning

Lip repositioning involves a minor surgical procedure that limits the movement of the upper lip when you smile. This prevents excessive gum exposure and enhances the overall appearance of your teeth and smile. It is a less invasive alternative to more complex treatments like jaw surgery.

Ideal Candidates for Lip Repositioning

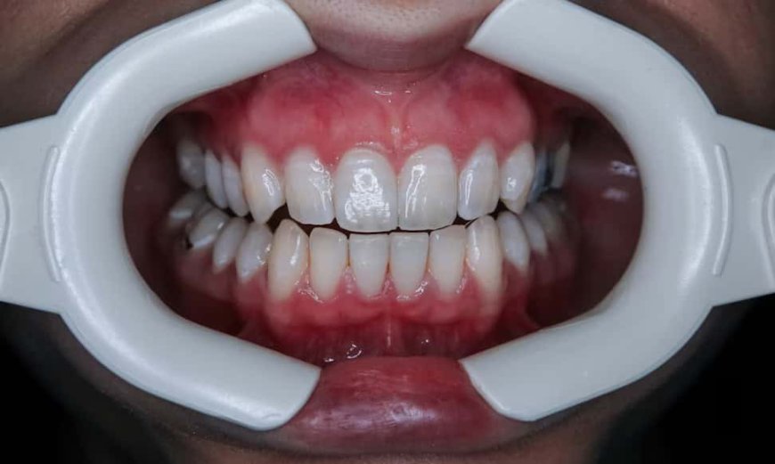
1. Individuals with Excessive Gum Display

The best candidates are those who show a significant amount of gum tissue when smiling—typically more than 3–4 millimeters. If your gummy smile is caused by a hyperactive upper lip, lip repositioning can be highly effective.

2. Patients with a Hyperactive Upper Lip

If your upper lip rises too high when you smile, exposing more gum tissue than desired, lip repositioning can help by restricting this movement. This is one of the most common reasons patients choose this procedure.

3. Those Seeking a Minimally Invasive Solution

Lip repositioning is ideal for individuals who want to improve their smile without undergoing extensive or invasive treatments. It offers noticeable results with relatively quick recovery time.

4. Patients with Good Oral Health

Candidates should have healthy teeth and gums before undergoing the procedure. Any underlying dental issues, such as gum disease or tooth decay, should be treated first to ensure the best outcome.

5. Individuals with Realistic Expectations

A good candidate understands the limitations of the procedure and has realistic expectations about the results. While lip repositioning can significantly reduce gum exposure, it may not completely eliminate it in every case.

Who May Not Be Suitable?

Lip repositioning may not be recommended for individuals with severe skeletal issues, such as excessive vertical maxillary growth. In such cases, more advanced treatments like orthognathic surgery might be required. Additionally, patients with insufficient attached gum tissue may not be ideal candidates.

Benefits of Lip Repositioning

  • Minimally invasive compared to other surgical options
  • Quick recovery period
  • Immediate improvement in smile aesthetics
  • Boost in self-confidence

Conclusion

Lip repositioning is an excellent option for individuals looking to correct a gummy smile without undergoing major surgery. The best way to determine if you are a suitable candidate is to consult with an experienced cosmetic dentist. They can evaluate your specific condition and recommend the most effective treatment plan to help you achieve a confident, beautiful smile.